厚生労働科学研究費補助金・難治性疾患政策研究事業 難治性血管炎の医療水準・患者QOL向上に資する研究
トップ
リンク
English
TOP
研究班ご紹介
班長ご挨拶
研究班班員一覧
活動予定・報告
研究班の実績
難プラコホート
English
トップ
>
ウェブ版血管炎病理アトラス
>
目次
>
Behçet病
Behçet病
Behçet病
画像クリックで拡大できます。
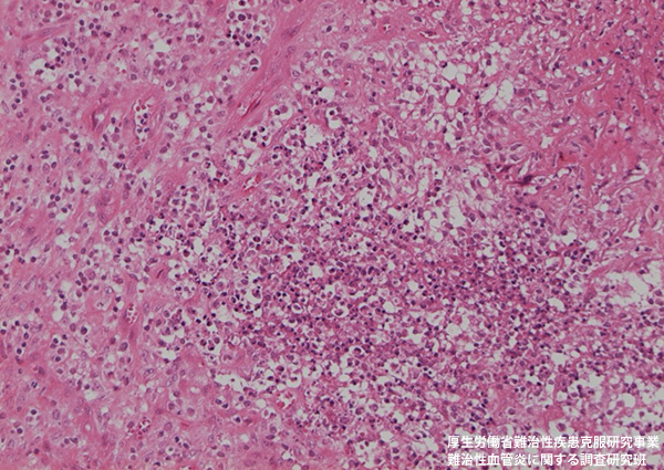
Behçet病の大動脈瘤として切除された大動脈。外膜の一部に好中球浸潤の著しい個所を認め、壊死も伴っている。小血管の壊死性血管炎と推定される所見。
Top
目次
このページの先頭へ戻る
血管炎各疾患の解説
市民公開講座
血管炎と妊娠
血管炎×プレママ情報 VPREmama
血管炎と妊娠計画
ディスカッションガイド
小児発症高安動脈炎の
子どもと親のための
ガイドブック
日常生活を考えよう
病気を知ろう
TOP
研究班ご紹介
班長ご挨拶
研究班班員一覧
活動予定・報告
研究班の実績
難プラコホート
English
血管炎各疾患の解説
市民公開講座
血管炎と妊娠
血管炎×プレママ情報 VPREmama
血管炎と妊娠計画
ディスカッションガイド
小児発症高安動脈炎の
子どもと親のための
ガイドブック
日常生活を考えよう
病気を知ろう