皮膚血管炎と鑑別が必要な疾患(2)

左

皮膚血管炎と鑑別が必要な疾患

右

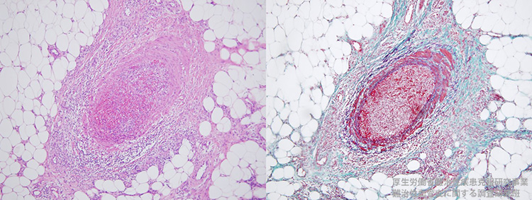
皮膚静脈炎
皮膚動脈炎と同レベル、真皮下層ないし皮下脂肪組織より下層の小静脈が侵される。 内弾性板が動脈と比較して不明瞭。そのため、内弾性板の存在が明瞭となるエラスチカ染色が有用である。中膜は、平滑筋束と弾性線維がばらけた感じで存在し、たまねぎ状とかバームクーヘン状とか言われる。(左図:Elastica-Masson染色)

血管炎各疾患の解説
医療従事者向け 一般向け
ウェブ版血管炎病理アトラス 診療ガイドラインのクイックリファレンス 血管炎病理診断コンサルテーション
小児発症高安動脈炎の
子どもと親のための
ガイドブック
関連機関・リンク
難病情報センター 厚生労働省 難病対策