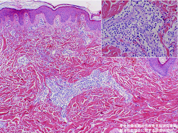
ループス血管炎(3)

左

ループス血管炎

右

SLE血管炎の大部分を占める皮膚血管炎では、その多くが皮膚表在性血管の白血球破砕性血管炎で、小細動静脈周囲に多核白血球を主とする炎症性細胞の浸潤をきたし、核破砕を伴う(挿入図)。

血管炎各疾患の解説
医療従事者向け 一般向け
ウェブ版血管炎病理アトラス 診療ガイドラインのクイックリファレンス 血管炎病理診断コンサルテーション
小児発症高安動脈炎の
子どもと親のための
ガイドブック
関連機関・リンク
難病情報センター 厚生労働省 難病対策
血管炎各疾患の解説
医療従事者向け 一般向け
ウェブ版血管炎病理アトラス 診療ガイドラインのクイックリファレンス 血管炎病理診断コンサルテーション
小児発症高安動脈炎の
子どもと親のための
ガイドブック
関連機関・リンク
難病情報センター 厚生労働省 難病対策