C型肝炎ウイルス関連クリオグロブリン血症性血管炎(3)

左

C型肝炎ウイルス関連クリオグロブリン血症性血管炎

右

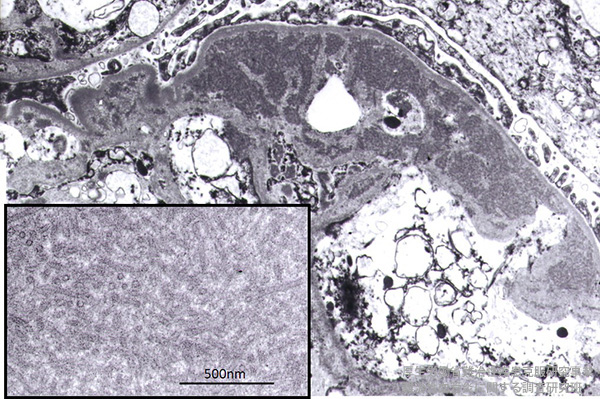
腎組織の電顕検索では、内皮下に高電子密度沈着物を認める。
沈着物は、50000倍程度に強拡大すると、特徴的な沈着物のシリンダー状の構造が認められた(挿入図)。

血管炎各疾患の解説
医療従事者向け 一般向け
ウェブ版血管炎病理アトラス 診療ガイドラインのクイックリファレンス 血管炎病理診断コンサルテーション
小児発症高安動脈炎の
子どもと親のための
ガイドブック
関連機関・リンク
難病情報センター 厚生労働省 難病対策
血管炎各疾患の解説
医療従事者向け 一般向け
ウェブ版血管炎病理アトラス 診療ガイドラインのクイックリファレンス 血管炎病理診断コンサルテーション
小児発症高安動脈炎の
子どもと親のための
ガイドブック
関連機関・リンク
難病情報センター 厚生労働省 難病対策