血栓性血小板減少性紫斑病(1)

左

血栓性血小板減少性紫斑病

右

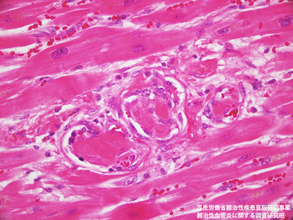
血栓性血小板減少性紫斑病(TTP)は、血栓性微小血管障害(TMA)に含まれ、von Willebland factor切断酵素であるADAMTS-13活性の欠損あるいは欠乏を原因とする。組織学的には心臓、中枢神経、腎臓をはじめ全身の諸臓器の細小動脈に血栓を認める。図は、ADAMTS-13活性5%未満の後天性TTPの症例で、心筋間の細小動脈内に好酸性の血栓を多数認めた。

血管炎各疾患の解説
医療従事者向け 一般向け
ウェブ版血管炎病理アトラス 診療ガイドラインのクイックリファレンス 血管炎病理診断コンサルテーション
小児発症高安動脈炎の
子どもと親のための
ガイドブック
関連機関・リンク
難病情報センター 厚生労働省 難病対策
血管炎各疾患の解説
医療従事者向け 一般向け
ウェブ版血管炎病理アトラス 診療ガイドラインのクイックリファレンス 血管炎病理診断コンサルテーション
小児発症高安動脈炎の
子どもと親のための
ガイドブック
関連機関・リンク
難病情報センター 厚生労働省 難病対策