顕微鏡的多発血管炎(2)

左

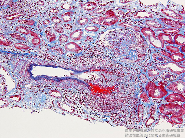
顕微鏡的多発血管炎

右

腎臓では糸球体腎炎が主な所見であるが、間質の小動脈(小葉間動脈から細動脈)にしばしば壊死性動脈炎を見る。図は小葉間動脈の壊死性動脈炎の所見で、動脈壁構造は一部断裂し、フィブリンの析出を認める。(Elastica-Masson染色)

血管炎各疾患の解説
医療従事者向け 一般向け
ウェブ版血管炎病理アトラス 診療ガイドラインのクイックリファレンス 血管炎病理診断コンサルテーション
小児発症高安動脈炎の
子どもと親のための
ガイドブック
関連機関・リンク
難病情報センター 厚生労働省 難病対策
血管炎各疾患の解説
医療従事者向け 一般向け
ウェブ版血管炎病理アトラス 診療ガイドラインのクイックリファレンス 血管炎病理診断コンサルテーション
小児発症高安動脈炎の
子どもと親のための
ガイドブック
関連機関・リンク
難病情報センター 厚生労働省 難病対策